With 3 locations to serve you, we can help you get the smile of your dreams!
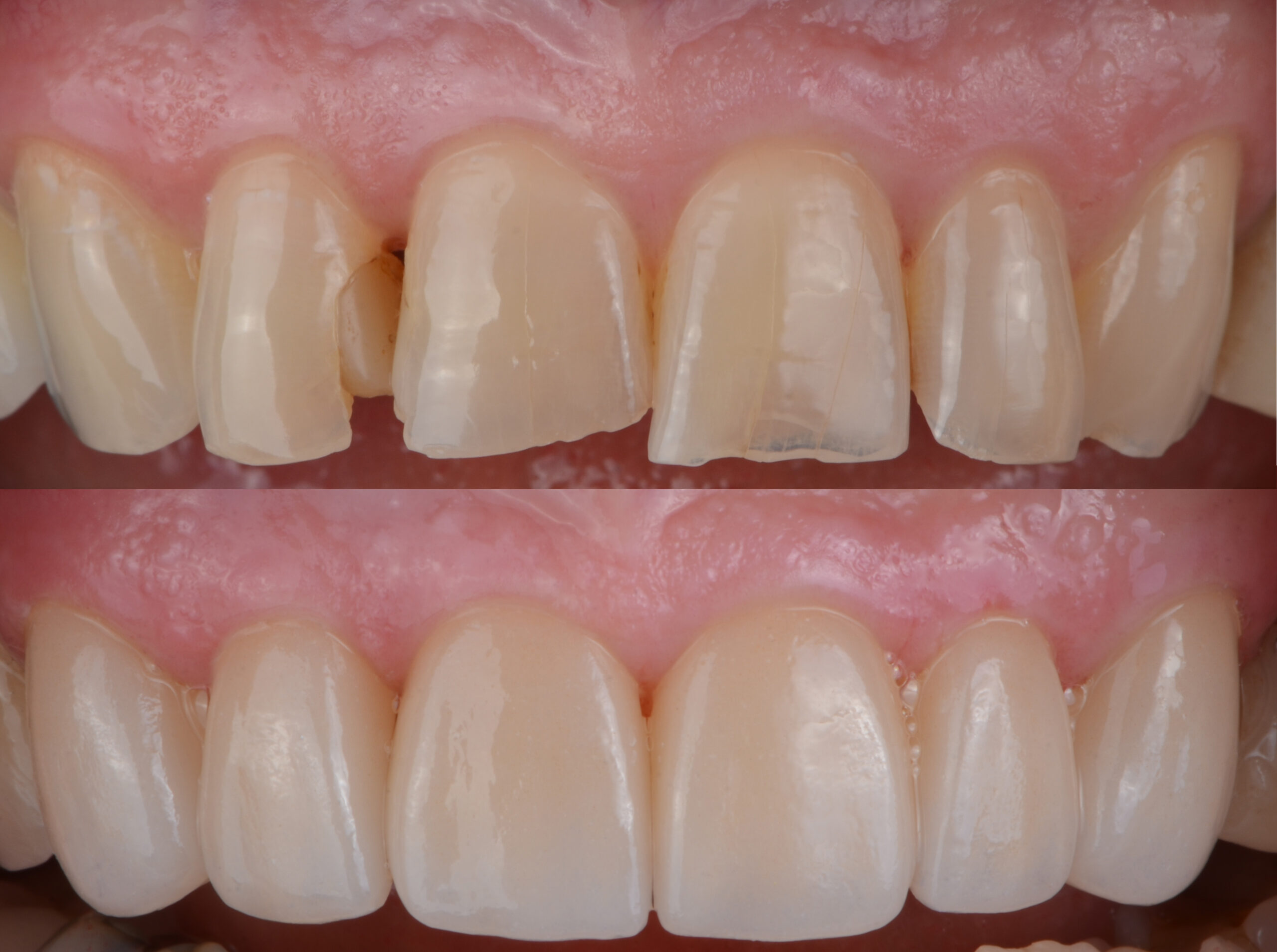
Achieving a confident, radiant smile is now more accessible than ever with Mai Dentistry in FL. Our expert team specializes in enhancing the beauty and function of your teeth through personalized Cosmetic Dentistry treatments. From subtle improvements to complete smile makeovers, we utilize the latest techniques to help you love your reflection. Ready to transform your look? Schedule your consultation today.










