Dealing with wisdom teeth pain can be disruptive and concerning. At Mai Dentistry, we specialize in comfortable wisdom teeth removal to relieve your pain and prevent future complications. Our experienced team serves St. Petersburg, Land O’ Lakes, and Hudson, FL, ensuring you receive expert care. Schedule your consultation today.
Wisdom Teeth Removal
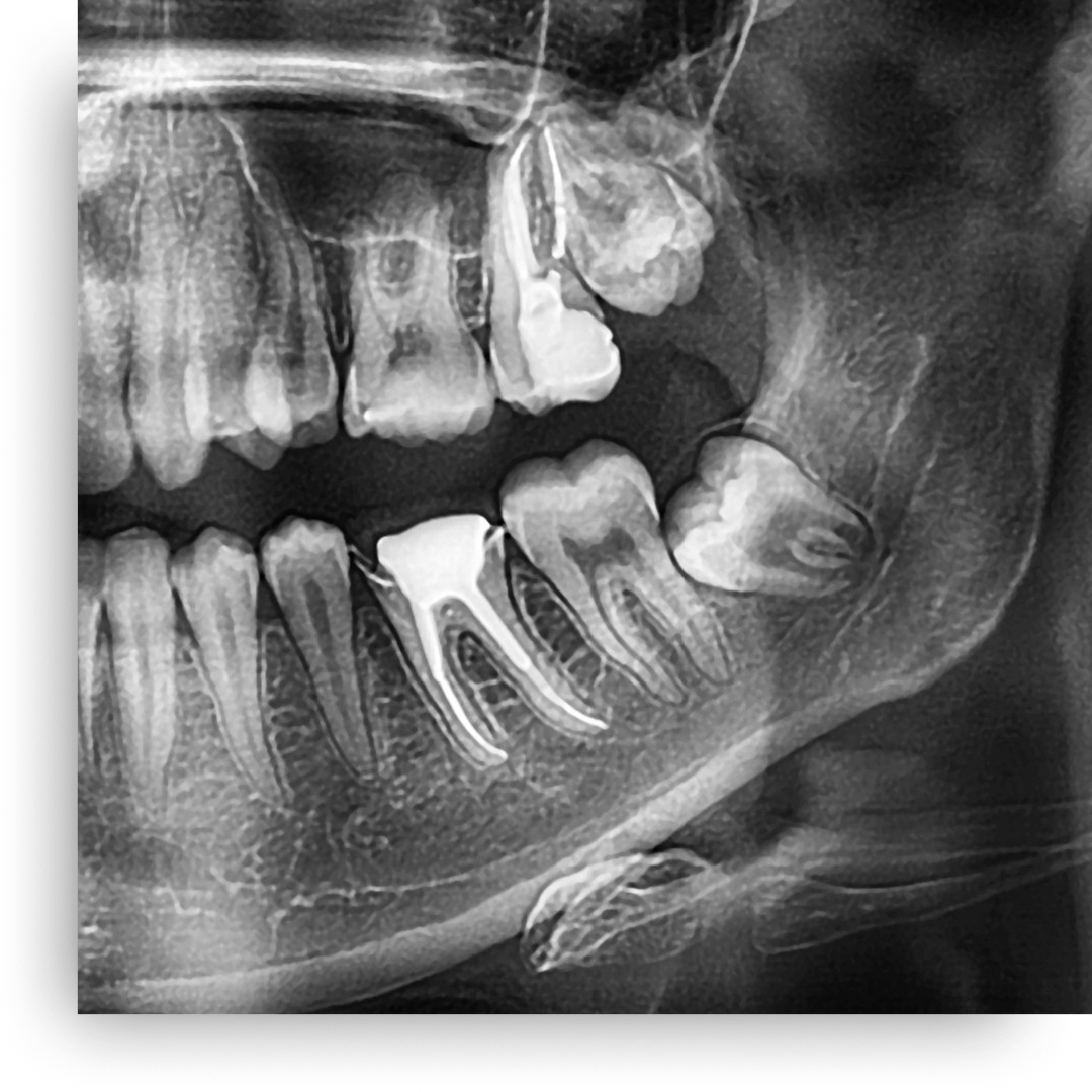
Why Remove Wisdom Teeth?
Wisdom teeth, or third molars, often cause problems as they erupt. They can become impacted (stuck), grow in at an angle, or crowd existing teeth. This can lead to pain, infection, and damage to adjacent teeth, making timely extraction a crucial preventive measure.


Signs You Need an Extraction
Are you experiencing wisdom teeth pain? Common symptoms include a persistent ache in the back of your jaw, swollen or tender gums, stiffness, and difficulty opening your mouth. If you notice these signs, it’s essential to get an evaluation. Contact our office to see if wisdom teeth extraction is right for you.
The Wisdom Teeth Extraction Process
Our team prioritizes your comfort during the entire wisdom teeth removal process. We use modern techniques and sedation options to ensure a smooth, pain-free experience. We will clearly explain the procedure, from the initial X-rays to the extraction itself, so you feel confident and informed.


Recovery and Aftercare
Following your extraction, our team provides detailed aftercare instructions to promote fast healing. We’ll guide you on managing swelling, what to eat, and how to keep the area clean. We are here to support your recovery. Ready to find relief? Book your wisdom teeth consultation with Mai Dentistry now.
Don't Wait for the Pain to Worsen
Left untreated, problematic wisdom teeth can seriously impact your oral health. Our dedicated dentists at Mai Dentistry are ready to provide a safe and comfortable wisdom teeth extraction. Contact our Hudson, St. Petersburg, or Land O’ Lakes office to restore your oral health.


